Viraj Dental Clinic

All Dental Treatment under one roof.

Dental Clinic Doctor at Clinic
About Our Doctor

Dr. Jigyasha Gupta

BDS from IDST Dental College.
Specialization-
Root Canal Treatment and Surgical Extraction/Teeth Alignment

Dr. Jigyasha Gupta is a highly trusted dental professional with over 10+ years of experience in advanced and painless dental treatments. she believes in ethical practice, hygiene and long-term oral health.

At Viraj Dental Clinic, patients receive personalized care using modern equipment and internationally approved treatment protocols.

  • ✔ 10+ Years Experience
  • ✔ Patient-Centered & Pain-Free Approach
About Us

Best Medical Care For Yourself and Your Family

Welcome to Viraj Dental Clinic, your trusted destination for comprehensive and painless dental care in Gaur City, Noida Extension

We specialize in providing advanced, affordable, and high-quality dental treatments under one roof

Clinic Timings:

Morning: Mon – Sun | 10:30 AM – 2:50 PM | Evening: Mon, Tue, Wed, Fri, Sat, Sun | 5:00 PM – 8:00 PM | Thursday: 5:00 PM – 8:50 PM
Services

Dental Services

Root Canal Treatment

There is no need to be worried, Root Canal tretments saves your natural tooth and has many advantages.

Crown Placement

Crown placement restores damaged teeth, improving strength, appearance, and long-term oral health with a natural, comfortable fit.

Tooth Fillings

Dental fillings are a common way to treat cavities and we are expertise doing it for you.

Tooth Xray

Tooth X-ray helps detect hidden dental problems early, ensuring accurate diagnosis and effective treatment planning.

Tooth Extraction

Tooth extraction safely removes damaged or infected teeth, relieving pain and protecting overall oral health.

Scaling and Theeth Policing

Scaling and teeth polishing remove plaque and stains, keeping gums healthy and your smile clean and bright.

Pricing Plan

Our Pricing Plan

Treatment

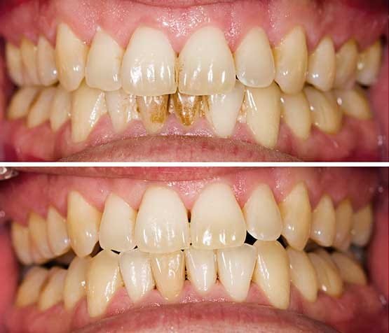
Our Treatment Result

Appointment

Make An Appointment For Your Family

Make an appointment for your family and experience trusted, compassionate care. Our experts ensure comfort, safety, and personalized attention for every family member, helping you maintain long-term health and confidence with convenient scheduling.

We focus on comfort, modern treatment, and personalized attention to keep every smile healthy and stress-free.

Book An Appointment

Our Process

Our Treatment Process

Blog Post

Our Latest Medical Blog Posts

Root Canal Treatment

There is no need to be worried, Root Canal tretments saves your natural tooth and has many advantagesThere is no need to be worried, Root Canal tretments saves your natural tooth and has many advantagesThere is no need to be worried, Root Canal tretments saves your natural tooth and has many advantages

Author : smit
28 Dec 2025
Crown Placement for

Dental crowns are caps placed on top of damaged teeth. Crowns are used to protect, cover and restore the shape of your teeth....

Author : osborn
28 Dec 2025

Get In Touch

We specialize in providing advanced, affordable, and high-quality dental treatments under one roof

Quick Links

Follow Us

Shop 13, Ground Floor, Bhavishya India Tower, near Mahagun Mart, Greater Noida West, Gaur City 2, Ghaziabad, Chipyana Khurd Urf Tigri, Uttar Pradesh 201301

jigsmani8@gmail.com

+91-9654311626

© virajdental. All Rights Reserved.

WhatsApp Integration WhatsApp